Cabinet dentaire du Docteur Jacques COULANGE
Chirurgien-Dentiste à Angers
ACCUEIL
LE CABINET
ACCÈS
FICHES CONSEILS
VIDÉOS
CONTACTEZ-NOUS
Cabinet dentaire du Docteur Jacques COULANGE
Chirurgien-Dentiste à Angers
29 rue Louis Gain 49100 ANGERS
+33 2 41 87 77 95
ACCUEIL
LE CABINET
ACCÈS
FICHES CONSEILS
VIDÉOS
CONTACTEZ-NOUS
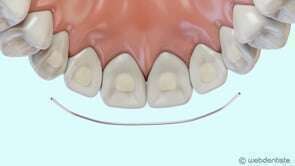
Fil de contention
Vidéos 3D
Partager
Twitter
Partager
Partager
Envoyer
Copier
Cabinet dentaire du Docteur Jacques COULANGE
29 rue Louis Gain
49100
ANGERS
+33 2 41 87 77 95
coulange.cabdent@orange.fr
POUR EN SAVOIR +
Politique de confidentialité et charte cookie
Mentions légales
Conditions Générales Utilisation
Charte déontologique
Ordre national
Annuaires chirurgiens dentistes
Hygiène & Asepsie
Honoraires & remboursement
Création par
Connexion